– Répondre à une demande esthétique, améliorer la qualité du sourire
ORTHODONTIE DE L’ADULTE
Objectifs de traitement
– Dans les cas d’occlusion dentaire traumatisante, permettre d’obtenir des contacts dentaires équilibrés et bien répartis
– Améliorer les rapports dentaires avant la réalisation de couronnes/prothèses
– Permettre la réalisation d’une attelle de contention après un traitement parodontal
– Éviter le recours à la prothèse en cas de dent absente (agénésie ou extraction)
– Dans les cas de douleurs articulaires, musculaires au niveau facial
– Traitement des syndromes d’apnée obstructifs du sommeil

Moyens de traitement
Traitement par gouttières
Le docteur Maud Skinazi est certifié Invisalign® et Spark®.
Le traitement par gouttières est extrêmement discret et confortable.
La réalisation des gouttières nécessite des empreintes précises et une analyse informatisée.
Les gouttières sont individualisées. Il faut un certain nombre de gouttières pour traiter la malocclusion.
Chaque gouttière est portée 7-10 jours.
Les gouttières sont amovibles ce qui permet un bon brossage.
Elles doivent être portées tout le temps excepté lors des repas.
Le traitement par gouttières dure en moyenne 9 à 24 mois.
Des dispositifs de contention sont mis en place à la fin du traitement pour pérenniser les résultats. (cf. Chapitre contention chez l’adulte).
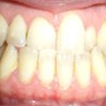
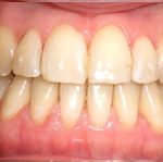
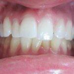
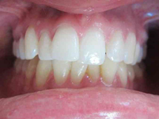
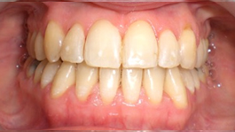
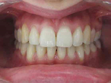
Présentation cas clinique :
Avant traitement
Après traitement
L’orthodontie linguale invisible
L’orthodontie linguale est une technique qui permet la correction de toutes les malocclusions, en toute discrétion.
Les attaches orthodontiques sont collées sur la face interne des dents : on ne voit donc pas l’appareillage.
En revanche, la phase d’adaptation à l’appareil est plus longue et varie en fonction des patients. Il peut y avoir au début une légère perturbation de l’élocution et une gêne de la langue.
Les conseils prodigués par l’orthodontiste pallieront à l’inconfort du début.
Le temps passé au fauteuil est également augmenté. (30-45 min par rendez-vous)
La périodicité des rendez-vous d’activation de l’appareillage est de 4-6 semaines.
Présentation cas clinique
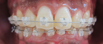
L’orthodontie vestibulaire esthétique
Un appareil multi-attache céramique est mis en place sur l’ensemble des dents.
L’utilisation d’attaches auto-ligaturantes en céramique n’entraine aucune coloration jaune inesthétique, ni aucun vieillissement dans le temps.
L’aspect des attaches reste donc inchangé tout au long du traitement.
L’adaptation dure en moyenne une à deux semaines.
Dans les cas de parodonte réduit où l’hygiène va être un élément déterminant, on préfère poser les attaches ( ou bagues) sur la face visible des dents c’est à dire en vestibulaire pour faciliter le passage de la brosse à dent et des brossettes avec un bon contrôle visuel.
La durée moyenne d’un traitement multi-attache vestibulaire varie de 6 mois à 30 mois.
Les rendez-vous sont espacés de 4 à 8 semaines.
Le temps passé au fauteuil est court.

Les protocoles ortho-chirurgicaux
Lorsque le décalage des arcades et des mâchoires est sévère et ne peut être traité uniquement par de l’orthodontie (absence de croissance, déficit esthétique majeur), un traitement ortho-chirurgical est nécessaire.
A la suite du bilan orthodontique, le patient est orienté vers une équipe chirurgicale choisie qui l’informe sur les indications, avantages et risques liés à la chirurgie.
Le docteur Skinazi a l’habitude de travailler avec des chirurgiens émérites du secteur publique ou privé.
Le traitement ortho-chirurgical se déroule ensuite en trois phases :
– La première phase du traitement consiste à mettre des bagues sur l’ensemble des dents et à préparer les arcades dentaires à la chirurgie (durée 1 an à 1 an ½).
Des examens complémentaires (moulages et Radiographies) sont réalisés avant la chirurgie.
– La deuxième phase est la chirurgie orthognatique qui se fait sous anesthésie générale. Il n’y a aucune cicatrice visible ; tout se passe à l’intérieur de la bouche.
Il est bon de prévoir un repos de 3 à 7 jours à la suite de la chirurgie.
– La troisième et dernière phase est orthodontique. Il s’agit de finitions orthodontiques qui assurent un calage de l’occlusion et sa contention.
C’est seulement à l’issue de ces trois phases que le patient est débagué.
La contention chez l’adulte
La contention est la période qui suit le traitement d’orthodontie. Il s’agit de mettre en place des dispositifs de contention pour pallier à la récidive.
Il existe différents dispositifs de contention. Le choix du dispositif incombe à l’orthodontiste en fonction de la maloclusion de départ et du support parodontal.
Chez l’adulte, dans les cas de parodonte réduit, la contention est réalisée chez le chirurgien dentiste. Le patient sera alors invité à se rendre chez un dentiste spécialiste avec un courrier que lui aura donné l’orthodontiste. Cette consultation préalable au traitement orthodontique a un rôle informatif afin de bien comprendre le procédé et l’importance du dispositif et de pouvoir prévoir son financement.
– Le fil collé : Il est réalisé directement au fauteuil par l’orthodontiste en fin de traitement orthodontique, avant la dépose de l’appareil.

– La gouttière thermoformée : Elle est réalisée au cabinet d’orthodontie au moyen d’une empreinte prise le jour du débaguage.

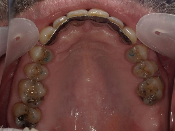
– L’attelle fibrée : Elle est réalisée par le chirurgien dentiste directement au fauteuil en fin de traitement orthodontique, avant la dépose de l’appareil.

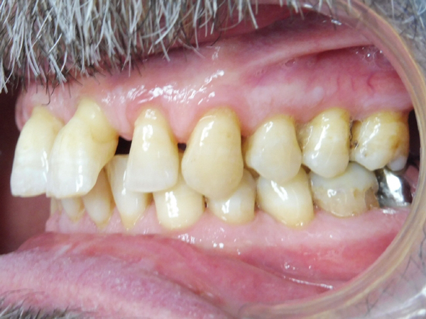
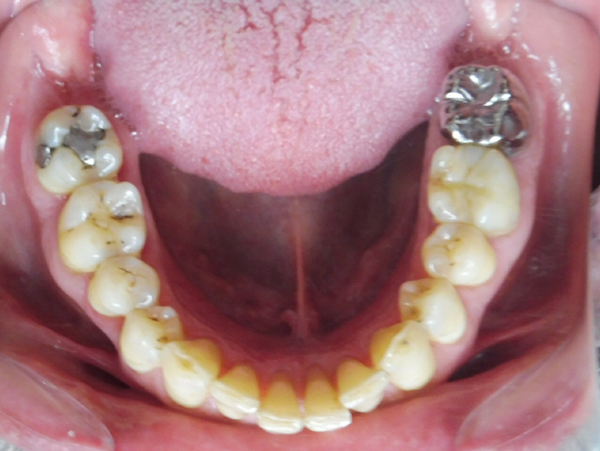
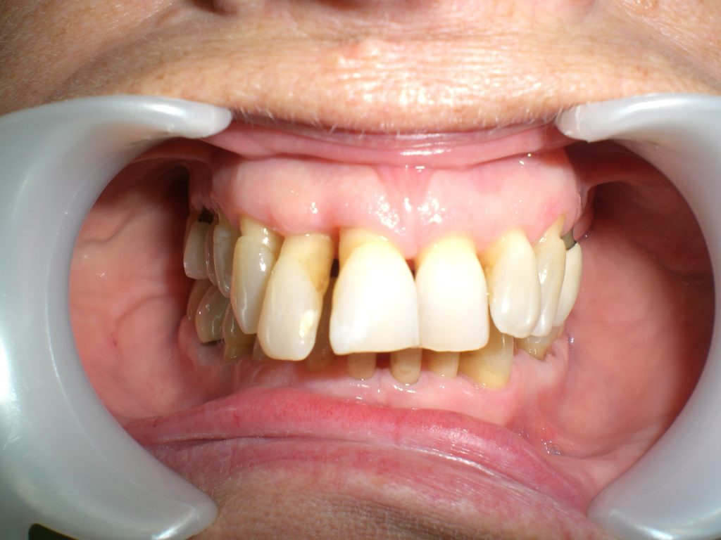
Arcade mandibulaire avant traitement orthodontique, séquelles de maladie parodontale

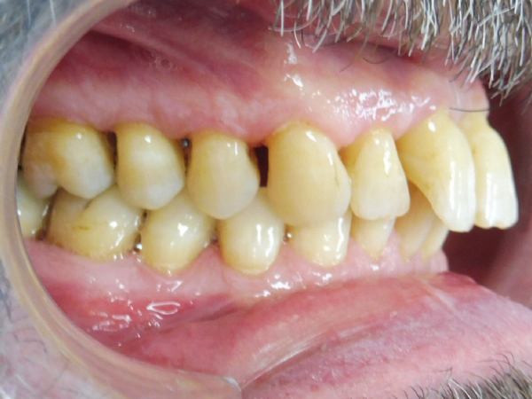
Après traitement orthodontique et réalisation d’une attelle fibrée (courtoisie Dr Patrick Fournier)
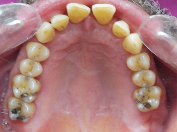
– L’attelle coulée collée : Elle est mise en place par le chirurgien dentiste. Sa réalisation nécessite des préparations dentaires, des empreintes et une procédure de collage rigoureuse sous digue.

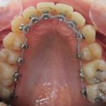
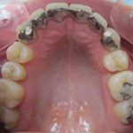
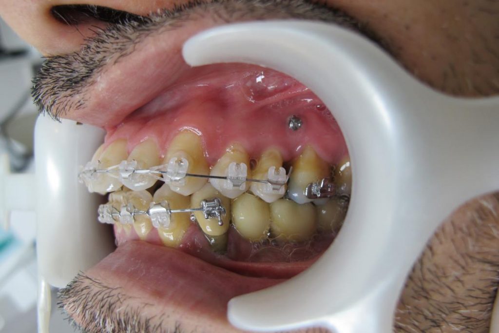
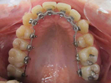
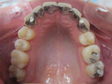
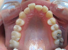
Arcade maxillaire avant traitement orthodontique, séquelles de maladie parodontale

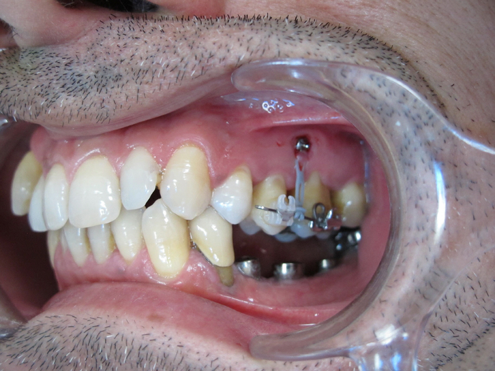
Après traitement orthodontique et réalisation d’une attelle coulée collée (courtoisie Dr Patrick Fournier)



























