Retrouvez ici les informations relatives aux appareils et techniques de traitements d’orthodontie. Le Dr SKINAZI vous donne également des indications particulières si vous rencontrez des difficultés ou si vous avez des interrogations.
TOUT SUR L’ORTHODONTIE
Spécialité médicale de la sphère oro-faciale qui consiste à établir une occlusion dentaire fonctionnelle et esthétique tout en assurant la préservation des tissus dentaires.
La durée d’un traitement orthodontique est de 6 mois à 3 ans.
A l’issue de la consultation orthodontique, une durée approximative du traitement est donnée en fonction de la situation clinique.
Les gouttières de rééducation fonctionnelle
Utilisées chez l’enfant et l’adolescent.
Elles permettent de rééduquer les fonctions orales comme la ventilation et la déglutition en aidant l’enfant à retrouver un bon positionnement lingual et labial. Elles permettent la correction de faibles malpositions dentaires et visent à atteindre un équilibre dento-maxillaire.
Les appareils d’expansion du maxillaire
Ils permettent d’élargir la mâchoire du haut (le maxillaire) chez un enfant en cours de croissance.
En fonction de l’importance de l’élargissement et de l’âge du patient, on peut utiliser différents outils :
La plaque de Hawley

Fiche à télécharger : Conseils plaque de Hawley à vérin
Le quad hélix

Fiche à télécharger : Conseils Quad-Hélix
Le disjoncteur

Fiche à télécharger : Conseils Disjoncteur
Les appareils de propulsion mandibulaire
Ils servent à rediriger la croissance de la mâchoire inférieure pour permettre la correction d’un décalage sagittal squelettique et dentaire.
Le PUL



Fiche à télécharger : Conseils PUL
L’activateur


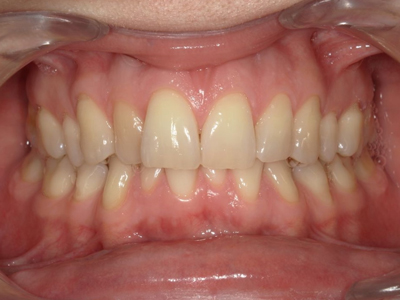
L’appareil multiattache ou « bagues »
En vestibulaire : sur la face visible des dents
Métal ou Céramique



En Lingual : sur la face interne des dents

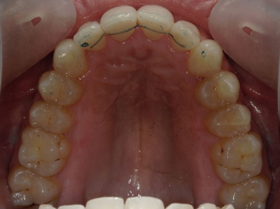
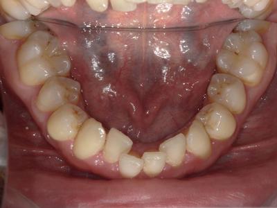
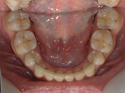
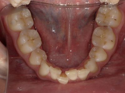
Le traitement par gouttière « Spark »

Présentation cas n°1 :
Présentation cas n°2 :
Les appareils de contention
Il existe différents dispositifs de contention. Le choix du dispositif incombe à l’orthodontiste en fonction de la maloclusion de départ et du support parodontal.
Chez l’adulte, dans les cas de parodonte réduit, la contention est réalisée chez le chirurgien dentiste. Le patient sera alors invité à se rendre chez un dentiste spécialiste avec un courrier que lui aura donné l’orthodontiste. Cette consultation préalable au traitement orthodontique a un rôle informatif afin de bien comprendre le procédé et l’importance du dispositif et de pouvoir prévoir son financement.
Le fil collé
Il est réalisé directement au fauteuil par l’orthodontiste en fin de traitement orthodontique, avant la dépose de l’appareil.

La gouttière thermoformée
Elle est réalisée au cabinet d’orthodontie au moyen d’une empreinte prise le jour du débaguage.

La plaque de Hawley
Elle est réalisée au laboratoire de prothèse au moyen d’une empreinte prise le jour du débaguage.

L’attelle fibrée
Elle est réalisée par le chirurgien dentiste directement au fauteuil en fin de traitement orthodontique, avant la dépose de l’appareil.

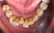
Arcade mandibulaire avant traitement orthodontique, séquelles de maladie parodontale

Après traitement orthodontique et réalisation d’une attelle fibrée (courtoisie Dr Patrick Fournier)
L’attelle coulée collée
Elle est mise en place par le chirurgien dentiste. Sa réalisation nécessite des préparations dentaires, des empreintes et une procédure de collage rigoureuse sous digue.

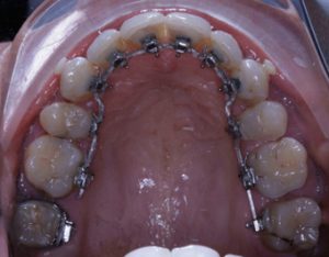
Arcade maxillaire avant traitement orthodontique, séquelles de maladie parodontale

Après traitement orthodontique et réalisation d’une attelle coulée collée (courtoisie Dr Patrick Fournier)
Le bridge cantilever en métal
Il est mis en place par le chirurgien dentiste. Sa réalisation nécessite des préparations dentaires, des empreintes, un choix de teinte et une procédure de collage rigoureuse sous digue.


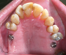
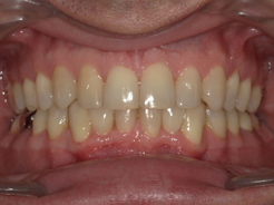
Photo 1 : Arcade maxillaire après traitement orthodontique, agénésie des incisives latérales maxillaires
Photo 2 : Bridge collé en cantilever, piliers de bridge 11-21
Le bridge cantilever en céramique



Le bridge collé
Il est mis en place par le chirurgien dentiste. Sa réalisation nécessite des préparations dentaires, des empreintes, un choix de teinte et une procédure de collage rigoureuse sous digue.

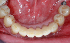
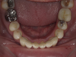
Préparation orthodontique suite agénésie de deux incisives mandibulaires

Collage du bridge collé sous digue (courtoisie Dr Patrick Fournier)

Bridge collé remplaçant deux incisives mandibulaires (courtoisie Dr Patrick Fournier)

Bridge collé face linguale, piliers de bridge 32-33-42-43 (courtoisie Dr Patrick Fournier)
« Il me manque une ou plusieurs dents. Est-ce que l’orthodontie peut résoudre mon problème ? »
L’absence de dent peut provenir d’une anomalie génétique (agénésie) ou être la conséquence d’une extraction dentaire.
Il convient de traiter l’édentement pour éviter les surcharges occlusales sur les dents restantes et éviter les malpositions des dents voisines.
L’analyse orthodontique permettra de choisir la solution la mieux adaptée en fonction du patient :
– Conserver l’espace ou le recréer afin de permettre la réalisation d’une prothèse bien adaptée esthétiquement et fonctionnellement
– Fermer l’espace d’extraction ou d’agénésie et éviter le recours à la prothèse
« L’orthodontiste m’a dit qu’il faudrait avoir recours à la chirurgie maxillo-faciale ; en quoi cela consiste ? »
Lorsque le décalage des arcades et des mâchoires est sévère et ne peut être traité uniquement par de l’orthodontie (absence de croissance, déficit esthétique majeur), un traitement ortho-chirurgical est nécessaire.
A la suite du bilan orthodontique, le patient est orienté vers une équipe chirurgicale choisie qui l’informe sur les indications, avantages et risques liés à la chirurgie.
Le docteur Skinazi a l’habitude de travailler avec des chirurgiens émérites du secteur publique ou privé.
Le traitement ortho-chirurgical se déroule ensuite en trois phases :
– La première phase du traitement consiste à mettre des bagues sur l’ensemble des dents et à préparer les arcades dentaires à la chirurgie (durée 1 an à 1 an ½).
Des examens complémentaires (moulages et Radiographies) sont réalisés avant la chirurgie.
– La deuxième phase est la chirurgie orthognatique qui se fait sous anesthésie générale. Il n’y a aucune cicatrice visible ; tout se passe à l’intérieur de la bouche.
Il est bon de prévoir un repos de 3 à 7 jours à la suite de la chirurgie.
La troisième et dernière phase est orthodontique. Il s’agit de finitions orthodontiques qui assurent un calage de l’occlusion et sa contention.
C’est seulement à l’issue de ces trois phases que le patient est débagué.
« J’ai les dents qui bougent et ma gencive saigne quand je me brosse les dents, que faire ? »
Les mobilités dentaires et les saignements de la gencive sont des symptômes de la maladie parodontale.
La maladie parodontale atteint les tissus qui entourent la dent : l’os et la gencive.
Elle s’associe souvent à des migrations dentaires qui entrainent les dents vers l’avant et créent des espaces inesthétiques entre les dents.
Le traitement de la maladie parodontale est réalisé chez le dentiste.
Il consiste en un enseignement à l’hygiène oral, à un nettoyage prophylactique des dents et parfois à de la chirurgie pour renforcer la gencive.
L’orthodontie pourra, une fois la maladie traitée, corriger les séquelles de la maladie parodontale c’est à dire réaligner les dents et permettre la réalisation d’une contention rigide de très longue durée sous la forme d’attelles fibrées ou coulées.
Le docteur Skinazi a l’habitude de faire appel au docteur Patrick Fournier, spécialiste en prothèse dentaire, pour la réalisation de ces attelles qui demandent beaucoup de rigueur et d’expérience.
Accéder au site du Dr Patrick Fournier
« J’ai une dent qui n’a pas la place de pousser, que faire ? »
Prendre un rendez-vous de consultation en orthodontie.
L’orthodontie s’assure de la mise en place de l’ensemble des dents sur les arcades.
Il est alors nécessaire de recréer la place nécessaire à l’évolution naturelle de la dent si cela est possible, grâce à un appareil orthodontique.
Dans certains cas, l’encombrement dentaire est tel qu’il faut réaliser des extractions dentaires et porter un appareil orthodontique.
« J’ai une dent incluse, comment ça se solutionne ? »
L’inclusion dentaire concerne le plus souvent les canines supérieures, les canines inférieures et les incisives.
C’est un phénomène qui se produit en absence de place sur l’arcade ou suite à un traumatisme dentaire.
Le traitement se déroule en plusieurs étapes :
– Un appareil orthodontique est posé sur l’ensemble des dents et un espace est recréé au niveau de la dent manquante.
– Une chirurgie de désinclusion est réalisée par un dentiste spécialiste en chirurgie orale. Elle consiste à accéder à la dent incluse pour y coller une bague et un dispositif de traction.
– La traction de la dent est ensuite réalisée par l’orthodontiste jusqu’à ce que la dent prenne place dans l’espace qui lui correspond.













